Od 11. ožujka
Tijekom Tjedna mozga Poliklinika Affidea Vita daje 20 posto popusta na magnetsku rezonancu!
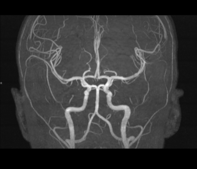
            Povodom obilježavanja Tjedna mozga od 11.
        
        
            4 / 8
        
    Oglas  
    Imaš vijest?
Imaš informaciju iz prve ruke, fotografiju, video, dobru ideju ili te nešto muči?
PODIJELI S NAMA!Oglas    
    
            
                / IZ KATEGORIJE
            
        
        
    Oglas